间质性肺炎是一种以肺部间质组织炎症和纤维化为主要特征的疾病,属于弥漫性肺实质疾病的一种,由于其早期症状往往不明显且易与其他呼吸系统疾病混淆,许多患者错失了最佳治疗时机,据统计,间质性肺炎的早期诊断率不足40%,这与其症状的隐匿性密切相关,了解间质性肺炎的早期症状,对于高危人群的筛查和疾病管理至关重要。
间质性肺炎早期症状的典型表现
-
进行性加重的干咳
间质性肺炎最典型的早期症状之一是持续性干咳,这种咳嗽通常无痰或仅有少量黏液,与普通感冒或支气管炎不同,这种咳嗽使用常规止咳药物效果有限,且会随着时间推移逐渐加重,约60%-70%的患者以此为首发症状,咳嗽多在夜间或清晨加剧,常被误诊为慢性支气管炎或哮喘。 -
活动后气促
早期患者可能在平地行走、爬楼梯等日常活动时出现异常气促,这种气促与心肺功能下降直接相关,但初期表现轻微,容易被归因于"体质下降"或"年龄增长",值得注意的是,这种气促在休息时往往缓解,而随着疾病进展,轻微活动如穿衣、吃饭都可能引发呼吸困难。 -
特征性肺部听诊音
约50%的早期患者在肺部听诊时可闻及Velcro啰音( Velcro crackles),这种声音类似于撕开尼龙扣时的细微爆裂音,这是肺泡壁增厚和间质水肿的典型表现,但需要专业医生通过听诊器才能识别。 -
非特异性全身症状

- 持续性疲劳:由于血氧交换效率降低,组织供氧不足,患者常感到异常疲倦,即使充足休息也难以缓解。
- 指端改变:部分患者可能出现杵状指(手指末端膨大),或甲床发绀(呈现蓝紫色)。
- 体重不明原因下降:早期患者可能在1-3个月内出现体重减轻5%-10%。
容易被忽视的隐匿症状
-
晨起胸部紧束感
许多患者描述清晨醒来时感觉胸前有压迫感,如同被带子束缚,这种症状在活动后反而有所减轻,这是由于夜间肺部液体重新分布导致的间质水肿加剧。 -
细微的呼吸模式改变
早期患者可能不自觉地采用浅快呼吸模式(呼吸频率>20次/分钟),这是身体为改善氧合而做出的代偿性调整,普通人静息呼吸频率一般为12-16次/分钟。 -
运动耐量进行性下降
患者可能注意到过去轻松完成的运动(如慢跑、登山)现在变得困难,且恢复时间明显延长,这种衰退呈持续进行性,与正常年龄相关的体能下降有本质区别。
高危人群需要特别警惕
以下人群出现上述症状时应立即进行专业检查:
- 长期吸烟者(特别是吸烟指数>400年支)
- 有风湿免疫疾病史(如类风湿关节炎、硬皮病)
- 长期接触粉尘、化学物质者(如石棉、硅尘)
- 有肺部疾病家族史的人群
- 接受过胸部放疗或某些药物治疗(如胺碘酮、部分化疗药物)者
早期诊断的重要价值
临床数据显示,在肺功能首次出现异常后的6-12个月内是干预的"黄金窗口期",早期确诊并规范治疗的患者,5年生存率可提高30%以上,肺功能下降速度可减缓40%-60%,目前推荐的筛查方法包括:
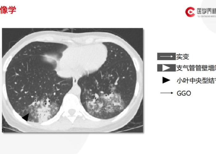
- 高分辨率CT(HRCT):可发现早期肺间质改变
- 肺功能检查:重点关注弥散功能(DLCO)指标
- 动脉血气分析:静息和运动后的血氧饱和度监测
- 6分钟步行试验:评估运动耐量和血氧变化
鉴别诊断与自我监测建议
需要与以下疾病进行鉴别:
- 慢性阻塞性肺疾病(COPD):多伴有咳痰,支气管扩张剂治疗有效
- 心源性肺水肿:多伴有端坐呼吸和夜间阵发性呼吸困难
- 支气管哮喘:症状多呈发作性,有明显诱因
建议高危人群建立健康档案,定期记录:
- 静息和活动后心率、血氧饱和度
- 日常活动耐受程度(如能连续行走的距离)
- 咳嗽频率和严重程度评分
- 体重变化趋势
间质性肺炎的早期症状虽然隐匿,但通过细致观察和专业检查仍可识别,特别提醒45岁以上人群,若出现持续4周以上的不明原因干咳、进行性气促,应及时到呼吸专科进行系统检查,早期诊断和干预不仅能延缓疾病进展,更能显著改善生活质量,对于确诊患者,建议在专业医生指导下制定个体化管理方案,包括药物治疗、氧疗、肺康复训练等综合措施。 符合循证医学指南,具体诊疗请遵医嘱)
